
There’s never been a better time to straighten your teeth with the most advanced clear aligner in the world. Our office is proud to be a certified provider of Invisalign clear aligners, which give you a clear, convenient, and comfortable option to achieve the smile you’ve always wanted.
See our Before and After gallery for dramatic results achieved with conservative, non-invasive treatment plans.
Why Invisalign treatment?

- Faster treatment: With weekly aligner changes, you’re on your way to the smile you want even faster. Depending on your response to treatment, particularly in mature adults, we may consider longer periods between aligner changes.
- Proven results: SmartTrack® material and SmartForce® features are clinically proven to improve control of tooth movement with Invisalign clear aligners.
- Better fit: Aligners made from SmartTrack material are comfortable, fit well, and are easy to put on and take off.
- Effective: Invisalign clear aligners can treat a wide range of teeth-straightening conditions, including crossbites, crowding, open bites, gapped teeth, overbites, and underbites.
- Virtually invisible: Most people won’t even know you’re going through treatment, because Invisalign aligners are virtually invisible!
- Comfortable: Invisalign clear aligner trays are not only smooth and comfortable to wear, but they’re also removable. That means you can continue doing all the things you normally would, from brushing and flossing to eating whatever you like.
- Convenient: Invisalign treatment is ideal for your busy schedule, since you only need to visit our office every six weeks.
The Invisalign Treatment Process
Your First Consultation
At your initial consultation, we will discuss your orthodontic needs and evaluate whether Invisalign treatment is right for you.
Your Custom Treatment Plan
We will use a scanner such as the iTero® digital scanning system to create fast, precise 3D digital images of your teeth. Then we will map out a precise treatment plan, including the exact movements of your teeth and how long your treatment will be. You’ll even get to see how your teeth will move and preview your new smile.
Your Invisalign Clear Aligners
Your custom-made aligners will be made of Invisalign’s proprietary SmartTrack® material. They’re virtually invisible, so most people won’t even notice you’re wearing them during your teeth straightening.
Wear your Invisalign clear aligners 20 to 22 hours a day for the best results, and take them out only to eat, brush, and floss.
Your Progress
As you wear each set of aligners, your teeth will gently and gradually shift into place. We may recommend that you begin wearing a new set of aligners every week and schedule checkups every six weeks or so.

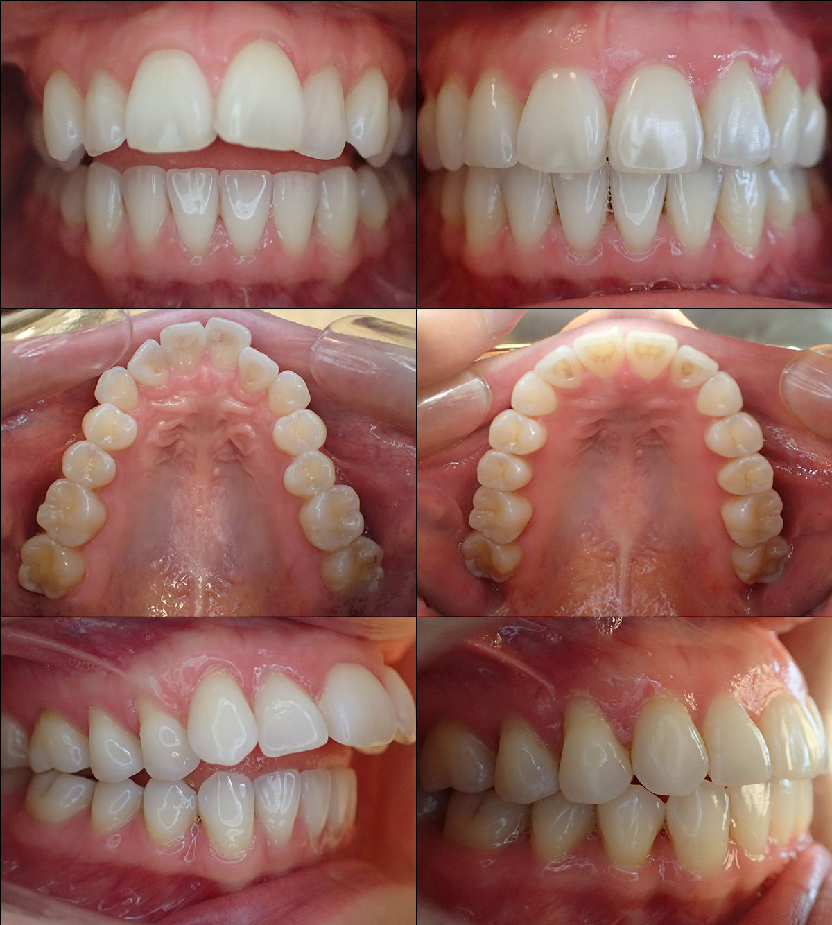
Adult Class II open bite
Corrected non-surgically using Invisalign, achieving functional occlusion and improved smile aesthetics without the need for orthognathic surgery.
Taking Care of Your New Smile
When your treatment is complete, ask us about a Vivera® retainer. Vivera retainers are custom-made using the same state-of-the-art technology as Invisalign clear aligners.
To learn more about the Invisalign system and all your orthodontic treatment options, please feel free to schedule an appointment at our office. We look forward to meeting you and helping you achieve a smile that’s made to move!
Invisalign and the Invisalign logo, among others, are trademarks of Align Technology, Inc., and are registered in the U.S. and other countries.