Incredible results and inspiring journeys; see some of our patients' before and after photos next time you visit our practice.
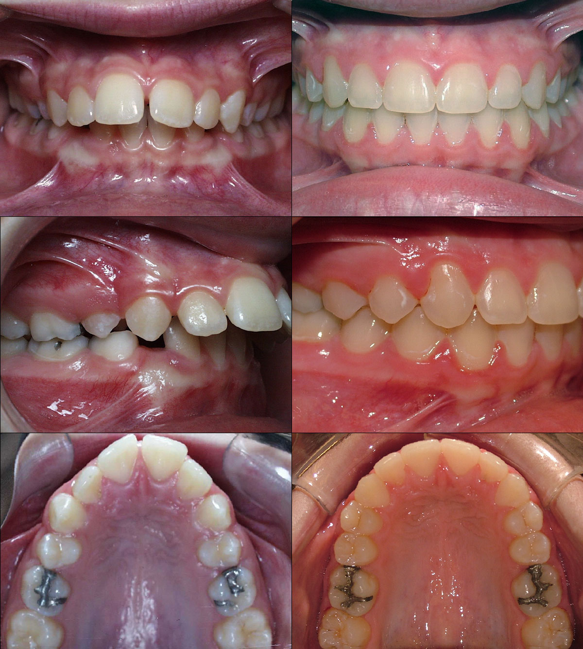
Growth modification followed by comprehensive fixed appliance therapy in growing patients
Class II Div I treatment in combination with Twin Block and fixed appliance

Today, Invisalign® with mandibular advancement can be an effective, non-invasive treatment for Class II jaw discrepancies in growing patients, serving as an alternative to Twin Block therapy or the Herbst appliance. It streamlines treatment and makes the process more convenient.
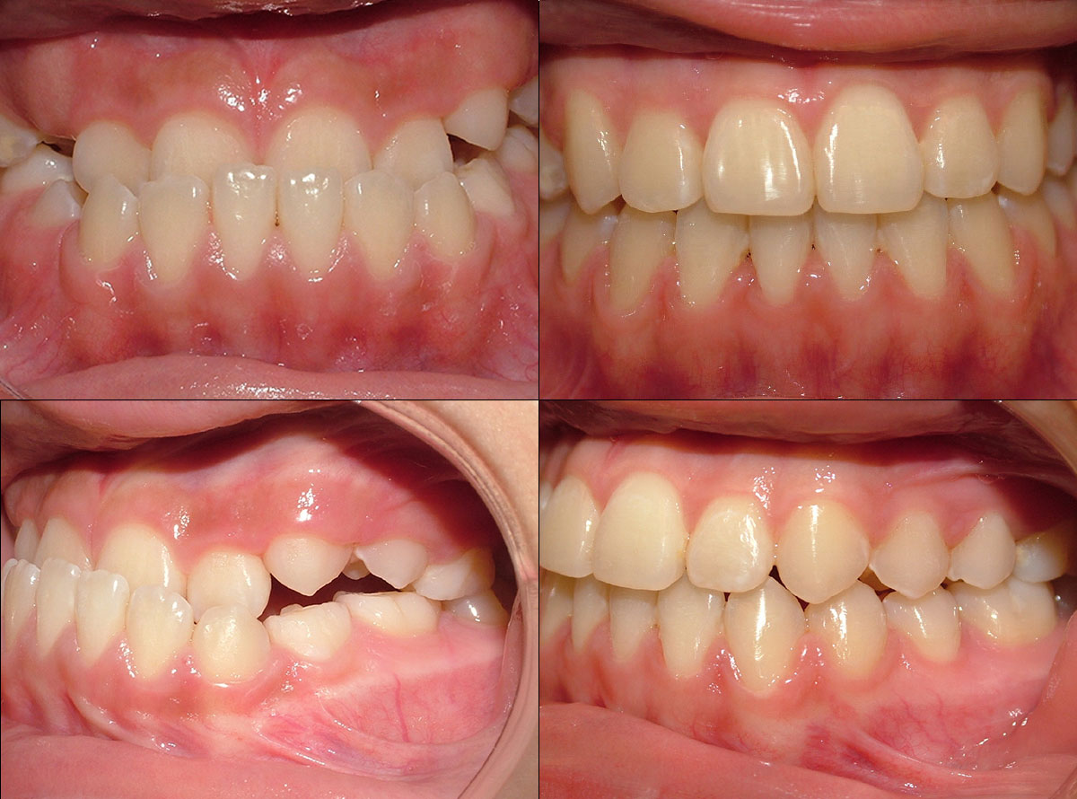
Non-surgical Class III treatment in combination with Twin Block and fixed appliance

The goal is to control mandibular growth in growing patients, and achieve a positive overjet with a functional appliance like a Twin Block, and complete the treatment with braces or Invisalign.
Adult treatment with Invisalign focused on delivering the simplest, most conservative solution for managing complex orthodontic challenges.
Adult Class II open bite

Corrected non-surgically using Invisalign, achieving functional occlusion and improved smile aesthetics without the need for orthognathic surgery.
Invisalign, Adult Class III Treatment

This adult Class III case presented with a deficient maxilla, excessive mandibular projection, and severe dental crowding. Comprehensive treatment with Invisalign achieved functional occlusion and improved facial balance without the need for extractions or corrective jaw surgery.
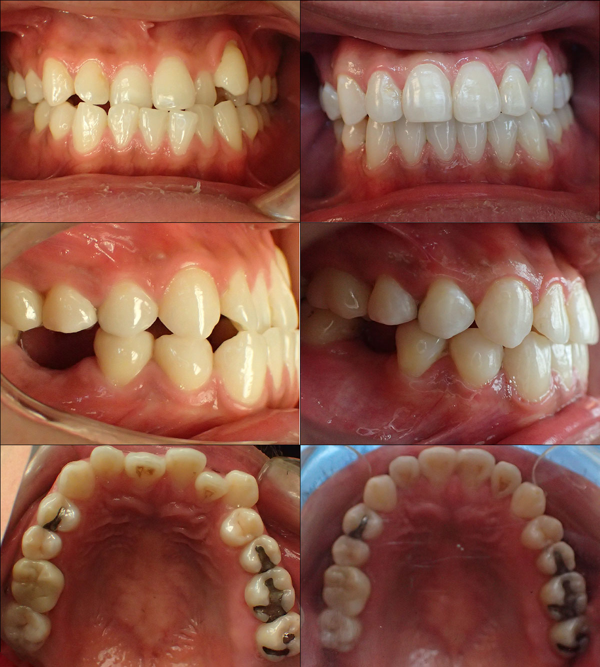
Orthodontic Treatment utilizing a non-extraction strategy

Orthodontic treatment in a teenage patient utilizing arch development and expansion to create space and avoid dental extractions.
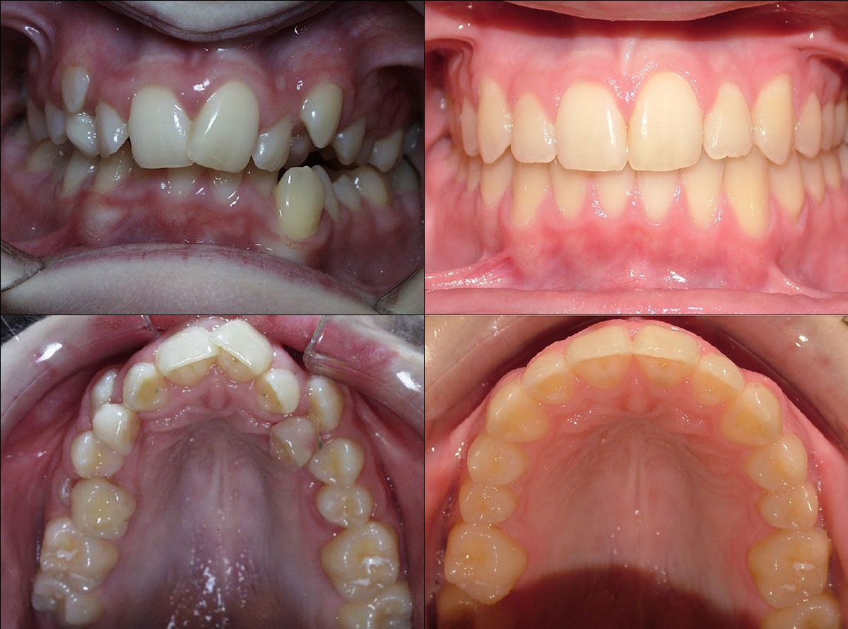
Orthodontic Solution for a thumb-sucking habit

Orthodontic therapy aimed at overcoming a persistent thumb-sucking habit while guiding healthy dental arch development.